
Teknologi.id - Baru-baru ini sistem kecerdasan buatan (artificial intelligence/AI) yang dikembangkan Google telah teruji mendeteksi kanker payudara lebih akurat dibandingkan dokter.
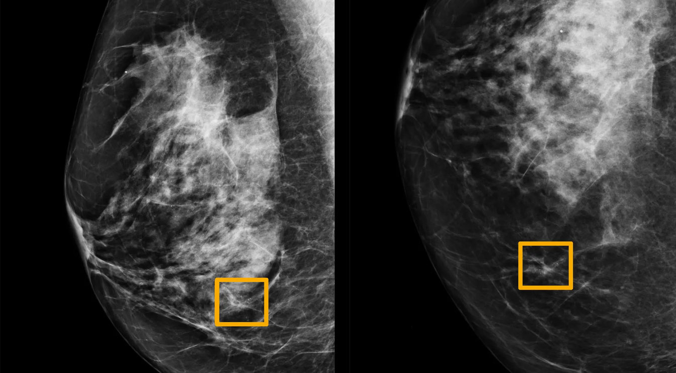
Dalam temuan Google yang berkolaborasi dengan berbagai peneliti kanker ini, AI Google mampu membaca ‘mammogram’ (foto x-ray payudara) dengan persentase keberhasilan yang cukup tinggi.
Baca juga: Ilmuwan China Perekayasa Gen Bayi Kembar Divonis Tiga Tahun Penjara
AI Google mampu menurunkan nilai false negative sampai 9,4 persen, jauh lebih rendah dibanding rata-rata false negative saat ini sebesar 20%. False negative terjadi ketika dokter menyimpulkan seorang pasien tidak terjangkit kanker payudara, padahal ternyata iya.
Tingkat false negative ini relatif tinggi karena “membaca” mammogram bukan perkara mudah, bahkan bagi dokter berpengalaman sekalipun. Contohnya pada payudara yang padat (dense breast), hasil mammogram seringkali tidak mampu menangkap keberadaan tumor.
Dalam penelitian tersebut, peneliti menggunakan mammogram milik 25.000 perempuan di Inggris dan 3.000 perempuan di Amerika Serikat.
Tim peneliti kemudian mengecek hasil tebakan AI Google dan membandingkannya dengan hasil medis sebenarnya.
Baca juga: Rusia Klaim Berhasil Uji Coba ‘RuNet’, Jaringan Internet untuk Negaranya Sendiri
Hasilnya, algoritma AI tersebut berhasil menurunkan false negative sebesar 9,4% untuk pasien AS, dan 2,7% di Inggris. Sistem juga berhasil menurunkan false positive sebesar 5,7% di AS dan 1,2% di Inggris.
Keberhasilan AI Google ini juga mengejutkan karena program tersebut memiliki informasi lebih sedikit dibanding tim dokter ahli, seperti informasi mengenai sejarah kesehatan pasien dan hasil mammogram sebelumnya.
Hanya membantu
Meski dapat memberikan hasil yang lebih baik dari dokter, Google mengatakan bahwa kehadiran AI ini tidak akan menggantikan dokter, namun justru membantu mereka dalam melakukan pekerjaannya.
"Mereka membawa kekuatannya masing-masing, ini saling melengkapi," kata peneliti Google, Shravya Shetty.
Lebih lanjut Shetty menambahkan, bahwa ada beberapa kasus dimana radiologis dapat mendeteksi sesuatu yang dilewati sistem, namun begitupun sebaliknya. Dan dengan menyatukan keduanya, hal ini nantinya justru akan menguatkan hasil keseluruhan.
"Ada beberapa kasus di mana radiologis bisa mendeteksi sesuatu yang dilewati sistem, begitu juga sebaliknya. Menyatukan keduanya bisa menguatkan hasil keseluruhan," ungkapnya.
(dwk)

Tinggalkan Komentar