
Foto: Delaware.gov
Teknologi.id - Kasus Monkeypox yang semakin menyebar di seluruh dunia mulai membuat perhatian para ilmuwan dunia tertuju ke virus tersebut, apalagi para pejabat di CDC atau Centers for Disease Control and Prevention, Amerika Serikat.
Senin (23/5/222) kemarin, pihak CDC terang-terangan memperingati para pria dengan orientasi seksual gay atau biseksual untuk lebih hati-hati terhadap penyebaran virus yang tampaknya menyerang kelompok mereka tersebut. Dr. John Brooks, seorang pejabat di CDC menyatakan bahwa memang benar Monkeypox bisa disebarkan ke siapa pun tanpa memandang orientasi seksual mereka. Namun sejauh ini, para pasien dari berbagai belahan dunia yang sudah terkonfirmasi tertular virus Monkeypox adalah pria dengan orientasi seksual gay atau biseksual.
Brooks juga berkata bahwa meskipun memang kemungkinan penularan antara pria gay dan biseksual lebih besar, tidak menutup kemungkinan bahwa Monkeypox juga akan menular ke orang-orang dengan orientasi seksual yang berbeda. Dr. Brooks juga menambahkan bahwa meskipun Monkeypox bukan penyakit menular seksual, namun virus ini dapat ditularkan lewat kegiatan seks sekaligus berbagi tempat tidur, dimana virus ini menyebar lewat cairan tubuh dan bagian tubuh yang terbuka.
Baca juga: Monkeypox Mulai Menyebar di Beberapa Negara, Seberapa Bahaya?
Dr. Brooks juga memperingatkan agar para pakar kesehatan dan kita sebagai individual awas akan adanya luka atau ruam di sekitar alat genital yang mungkin bisa menjadi tanda-tanda tertularnya Monkeypox lewat kegiatan seks. Takutnya, tanda-tanda tersebut disalah artikan sebagai herpes, sifilis, atau cacar ayam. Jadi, kita diminta untuk selalu waspada dan memeriksakan gejala tersebut sebagai gejala Monkeypox.

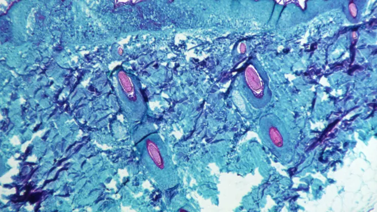
Foto: Jaringan kulit penderita Monkeypox yang memiliki gejala ruam dan luka (Sumber: CDC)
Sementara itu, seorang pejabat CDC lain yang bernama Dr. Jennifer McQuiston menyatakan bahwa pasien Monkeypox yang menunjukkan gejala ruam cenderung lebih mudah menularkan virus tersebut ke orang lain. Proses penularan dari pasien Monkeypox terjadi ketika pasien tidak sengaja mengeluarkan cairan dari mulut dan tenggorokan yang terinfeksi ke udara dan udara tersebut dihirup oleh orang lain. Meskipun begitu, penularan lewat udara tidak terjadi begitu saja karena memerlukan kontak langsung yang cukup lama.
Sampai sekarang, WHO telah mencatat sedikitnya 200 kasus pasien terduga dan terkonfirmasi Monkeypox dari seluruh dunia. Amerika Serikat sendiri kini memiliki 1000 dosis vaksin bernama Jynneos yang telah lulus uji klinis untuk digunakan sebagai vaksin Monkeypox untuk rentan usia 18 tahun ke atas. Dosis vaksin tersebut diharapkan akan terus bertambah seiringnya dipercepatnya produksi vaksin tersebut.
(AR)

Tinggalkan Komentar